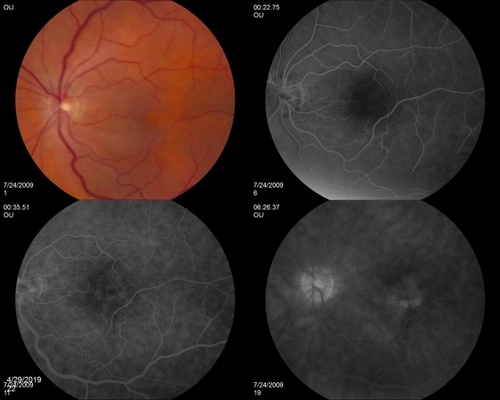
The left eye had a recurrent epiretinal membrane. There was late cystoid edema, but the OCT did not show significant swelling. There was mild surface irregularity. With J1 near vision, it is possible that correction for refractive error would result in significant visual improvement. The cause of the hemorrhage was uncertain. A recent test for diabetes was negative, and there was only mild hypertension with a blood pressure of 138/72. It could have been related to the epiretinal membrane, and isolated retinal hemorrhages of unclear etiology are not rare among senior citizens.
The right eye had superficial dots that likely reflected cells that had not undergone metaplasia into a fibrous sheet of epiretinal membrane. Observation was warranted.






