Case of the Month I December 2022

Case of the Month
December 21, 2022

The Case

The patient was a 73 year old woman without acute visual complaints found on clinical examination to have subtle pigmentary changes below the fovea in each eye. The visual acuity was 20/30 OD and 20/40 OS. There was an early nuclear sclerotic cataract in each eye. The OCT and autofluorescence images from June 2021 and December 2022 are provided. What is the most likely diagnosis? What treatment, if any, would you recommend?

This patient had Plaquenil (hydroxychloroquine) toxicity. The medication was prescribed for rheumatoid arthritis, and she had been taking 200 mg daily for 15 years for a cumulative dose of about 1100 grams. In patients with Plaquenil toxicity, there is a zone of hypoautofluorescence with adjacent hyperautofluorescence against a background of diffuse macular hyperautofluorescence. The hypoautofluorescent region starts as a crescent around the fovea and can eventually surround the fovea with a bull’s-eye pattern. Our patient had characteristic parafoveal crescent-shaped hypoautofluorescence surrounded by a rim of hyperautofluorescence. This autofluorescence pattern enlarged from 06/2021 to 12/2022. There were also typical OCT changes with disruption initially at the level of the ellipsoid zone (the OCT OS 12/2022 foveal image illustrates this change) with subsequent damage to adjacent outer limiting membrane and interdigitation zone layers. There was also contiguous deep reflective material. Progression of the condition can be seen when comparing the 06/2021 images to the 12/2022 images. Our patient had the Plaquenil discontinued in June 2021, and, as is often the case, her rheumatoid arthritis did not worsen. As in this patient, there can be progression of the maculopathy after cessation of the drug. This is why early detection is so important. In general, autofluorescence, OCT, 10-2 visual field testing, and foveal ERG are more sensitive that the clinical examination or fluorescein angiography in detecting early Plaquenil toxicity.

Our patient had a 3.1 mg/kg Plaquenil dose based on real body weight. The risk of toxicity increases substantially if the dose exceeds 5 mg/kg real body weight.

Marmor MF, Kellner U, Lai TYY, et al. Recommendations on screening for chloroquine and hydroxychloroquine retinopathy (2016 revision). Ophthalmology 2016; 123:1386-94.

Mititelu M, Wong BJ, Brenner M, et al. Progression of hydroxychloroquine toxic effects after drug therapy cessation: New evidence from multimodal imaging. JAMA Ophthalmology 2013; 131:1187-97.

Case Photos

Click the Images below to enlarge
Autofluorescence OD 06-2021
Autofluorescence OD 12-2022
Autofluorescence OS 06-2021
Autofluorescence OS 12-2022
OCT OD 06-2021
OCT OD 12-2022
OCT OS 06-2021
OCT OS 12-2022
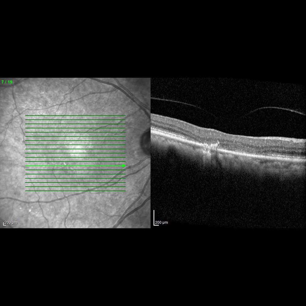
OCT OS 12-2022 fovea

This patient had Plaquenil (hydroxychloroquine) toxicity. The medication was prescribed for rheumatoid arthritis, and she had been taking 200 mg daily for 15 years for a cumulative dose of about 1100 grams. In patients with Plaquenil toxicity, there is a zone of hypoautofluorescence with adjacent hyperautofluorescence against a background of diffuse macular hyperautofluorescence. The hypoautofluorescent region starts as a crescent around the fovea and can eventually surround the fovea with a bull’s-eye pattern. Our patient had characteristic parafoveal crescent-shaped hypoautofluorescence surrounded by a rim of hyperautofluorescence. This autofluorescence pattern enlarged from 06/2021 to 12/2022. There were also typical OCT changes with disruption initially at the level of the ellipsoid zone (the OCT OS 12/2022 foveal image illustrates this change) with subsequent damage to adjacent outer limiting membrane and interdigitation zone layers. There was also contiguous deep reflective material. Progression of the condition can be seen when comparing the 06/2021 images to the 12/2022 images. Our patient had the Plaquenil discontinued in June 2021, and, as is often the case, her rheumatoid arthritis did not worsen. As in this patient, there can be progression of the maculopathy after cessation of the drug. This is why early detection is so important. In general, autofluorescence, OCT, 10-2 visual field testing, and foveal ERG are more sensitive that the clinical examination or fluorescein angiography in detecting early Plaquenil toxicity.

Our patient had a 3.1 mg/kg Plaquenil dose based on real body weight. The risk of toxicity increases substantially if the dose exceeds 5 mg/kg real body weight.

Marmor MF, Kellner U, Lai TYY, et al. Recommendations on screening for chloroquine and hydroxychloroquine retinopathy (2016 revision). Ophthalmology 2016; 123:1386-94.

Mititelu M, Wong BJ, Brenner M, et al. Progression of hydroxychloroquine toxic effects after drug therapy cessation: New evidence from multimodal imaging. JAMA Ophthalmology 2013; 131:1187-97.

Genetics & AREDS Essay
Return to News & Events