Case Of The Month | April 2025

Case of the Month
April 22, 2025

The Case

The Case:

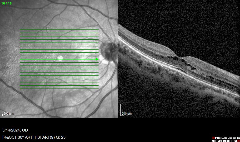
The patient was a 46-year-old woman who had no acute visual complaints. She was recently treated for a retinal tear in the right eye. Her past medical history was remarkable for migraines for which she is using vitamin supplements. The visual acuity was 20/30 in each eye. What is the most likely diagnosis?

Answer:

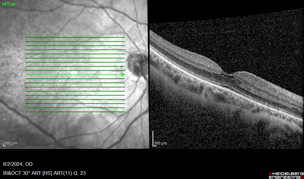
Our patient had schisis-like fluid at the level of the outer plexiform layer in the right eye. This is typical of patients with niacin maculopathy, and our patient had been using 500 mg niacin as well as supplemental magnesium daily for management of her migraine syndrome. The recommended daily allowance for women is 14 mg niacin per day. The supplement was discontinued, and the macular schisis was markedly reduced several months later. There was no change in visual acuity or subjective vision.

There are other diagnostic considerations in a patient with schisis-like intraretinal edema and without any evidence of intraocular inflammation or vasculopathy. Certain immunoglobulin disorders, such as Waldenstrom’s macroglobulinemia or multiple myeloma can present in this manner. X-linked juvenile retinoschisis typically presents with peripheral as well as macular retinoschisis, and the vision is significantly reduced. Stellate nonhereditary idiopathy foveomacular retinoschisis is a rare, bilateral condition which would be in the differential diagnosis for our patient.

Case Photos

Click the Images below to enlarge

Answer:

Our patient had schisis-like fluid at the level of the outer plexiform layer in the right eye. This is typical of patients with niacin maculopathy, and our patient had been using 500 mg niacin as well as supplemental magnesium daily for management of her migraine syndrome. The recommended daily allowance for women is 14 mg niacin per day. The supplement was discontinued, and the macular schisis was markedly reduced several months later. There was no change in visual acuity or subjective vision.

There are other diagnostic considerations in a patient with schisis-like intraretinal edema and without any evidence of intraocular inflammation or vasculopathy. Certain immunoglobulin disorders, such as Waldenstrom’s macroglobulinemia or multiple myeloma can present in this manner. X-linked juvenile retinoschisis typically presents with peripheral as well as macular retinoschisis, and the vision is significantly reduced. Stellate nonhereditary idiopathy foveomacular retinoschisis is a rare, bilateral condition which would be in the differential diagnosis for our patient.

Genetics & AREDS Essay
Return to News & Events