Case of the Month | April 2019

Case of the Month
April 22, 2019

The Case

The patient was a 57 year old man who had a rapid loss of vison in the right eye.  He had a history of hypertension, and his blood pressure was 170/100 in our office. It had been 221/127 recently in the emergency department. His past medical and ocular history were otherwise unremarkable. He denied headaches, jaw claudication, muscle soreness or stiffness, weight loss, fatigue, or fevers. On examination, he had tenderness over the temporal arteries. His visual acuity was light perception only OD and 20/40, J1 OS. Anterior segment examination was remarkable for mild nuclear sclerosis, and the fundus appearance, fluorescein angiography, and OCT of the right eye are attached. What is the most likely diagnosis? What testing would you order? What treatment, if any, would you recommend?

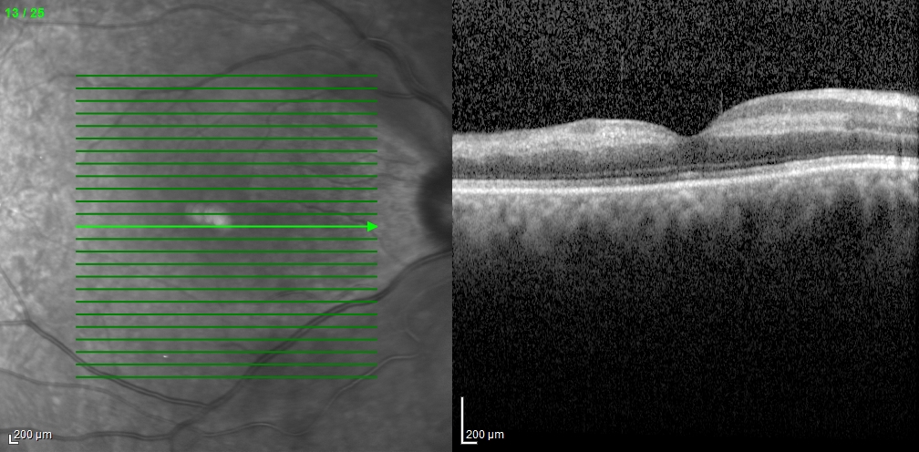
This patient had a central retinal artery occlusion with partial sparing of the papillary-macular bundle by a cilioretinal artery. The fundus photo shows retinal whitening except nasal to the fovea. The fluorescein angiogram shows that the central retinal artery has recanalized. OCT shows central and temporal swelling of the inner retinal layers with loss of discrete layer boundaries, with sparing about 800 microns nasal to the fovea.

CT of the head showed small vessel disease. The sed rate was 3 and the CBC was unremarkable. The CRP was ordered but not done by the lab. Carotid ultrasonography showed bilateral atherosclerotic changes without significant stenosis.

The tenderness over the temporal arteries was a high suspicious for giant cell arteritis. Arguing against this diagnosis, but not ruling it out, were the patient’s age, lack of typical history, and unremarkable laboratory tests. The patient was started on 80 mg prednisone and a baby aspirin daily and temporal artery biopsy was planned. The pain over the temporal arteries resolved quickly, and the sed rate decreased to 1. Bilateral temporal artery biopsies were negative. The patient’s steroids were tapered, and there was a partial recovery of vision to finger counting in the inferior quadrant.

Until recently, patients with retinal arterial occlusive conditions were not considered at high risk of acute systemic ischemic events. Recent data analysis has shown that patients with central retinal artery occlusion (CRAO), branch retinal artery occlusion (BRAO), or transient monocular vision loss (TMVL) can be at high risk for stroke. In particular, patients with at least one central nervous system infarction found on diffuse-weighted imaging (DWI) MRI studies had a high risk of another ischemic stroke after a transient ischemic attack involving the brain or the eye. The risk of prior strokes is highest after CRAO, followed by BRAO, and then TMVL, indicating that the risk of stroke is greatest when patients have suffered a retinal infarction. The American Academy of Ophthalmology’s Preferred Practice Patterns now recommends emergent referral of patients with confirmed CRAO, BRAO, or TMVL to specialized stroke centers, where work-up, including DWI-MRI, can be done.


Biousse V, Nahab F, Newman NJ. Management of acute retinal ischemia: Follow the guidelines! Ophthalmology 2018;125:1597-1607.


American Academy of Ophthalmology. Retinal and Ophthalmic Artery Occlusions Preferred Practice Pattern®. 2016. https://www.aaojournal.org/article/S0161-6420(16)31378-1/pdf

Case Photos

Click the Images below to enlarge

This patient had a central retinal artery occlusion with partial sparing of the papillary-macular bundle by a cilioretinal artery. The fundus photo shows retinal whitening except nasal to the fovea. The fluorescein angiogram shows that the central retinal artery has recanalized. OCT shows central and temporal swelling of the inner retinal layers with loss of discrete layer boundaries, with sparing about 800 microns nasal to the fovea.

CT of the head showed small vessel disease. The sed rate was 3 and the CBC was unremarkable. The CRP was ordered but not done by the lab. Carotid ultrasonography showed bilateral atherosclerotic changes without significant stenosis.

The tenderness over the temporal arteries was a high suspicious for giant cell arteritis. Arguing against this diagnosis, but not ruling it out, were the patient’s age, lack of typical history, and unremarkable laboratory tests. The patient was started on 80 mg prednisone and a baby aspirin daily and temporal artery biopsy was planned. The pain over the temporal arteries resolved quickly, and the sed rate decreased to 1. Bilateral temporal artery biopsies were negative. The patient’s steroids were tapered, and there was a partial recovery of vision to finger counting in the inferior quadrant.

Until recently, patients with retinal arterial occlusive conditions were not considered at high risk of acute systemic ischemic events. Recent data analysis has shown that patients with central retinal artery occlusion (CRAO), branch retinal artery occlusion (BRAO), or transient monocular vision loss (TMVL) can be at high risk for stroke. In particular, patients with at least one central nervous system infarction found on diffuse-weighted imaging (DWI) MRI studies had a high risk of another ischemic stroke after a transient ischemic attack involving the brain or the eye. The risk of prior strokes is highest after CRAO, followed by BRAO, and then TMVL, indicating that the risk of stroke is greatest when patients have suffered a retinal infarction. The American Academy of Ophthalmology’s Preferred Practice Patterns now recommends emergent referral of patients with confirmed CRAO, BRAO, or TMVL to specialized stroke centers, where work-up, including DWI-MRI, can be done.


Biousse V, Nahab F, Newman NJ. Management of acute retinal ischemia: Follow the guidelines! Ophthalmology 2018;125:1597-1607.


American Academy of Ophthalmology. Retinal and Ophthalmic Artery Occlusions Preferred Practice Pattern®. 2016. https://www.aaojournal.org/article/S0161-6420(16)31378-1/pdf

Genetics & AREDS Essay
Return to News & Events